О клинике
Услуги и цены
Отзывы
Контакты
+7 (812) 200-87-94
Записаться
О клинике
Команда врачей
Технологии
О клинике
О клинике
Услуги
Услуги
Контакты
+7 (812) 200-87-94
Первичная консультация
Отзывы
Отзывы
Прозрачные элайнеры
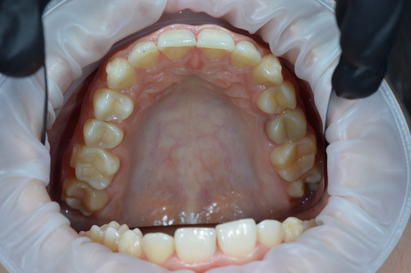
3D скан исходной ситуации
Исходная ситуация
Your browser does not support the video tag.
Zero Block
Click "Block Editor" to enter the edit mode. Use layers, shapes and customize adaptability. Everything is in your hands.
Tilda Publishing
create your own block from scratch